1. صفحه اصلی
    • پربیننده‌ترین اخبار
    • مهمترین اخبار
    • آرشیو اخبار
  2. سیاسی
    • سیاست ایران
    • نظامی | دفاعی | امنیتی
    • گزارش و تحلیل سیاسی
    • مجلس و دولت
  3. امام و رهبری
  4. ورزشی
    • فوتبال ایران
    • فوتبال جهان
    • والیبال | بسکتبال | هندبال
    • کشتی و وزنه‌برداری
    • ورزش های رزمی
    • ورزش زنان
    • ورزش جهان
    • رشته های ورزشی
  5. بین الملل
    • دیپلماسی ایران
    • تولیدات دفاتر خارجی
    • آسیای غربی
    • افغانستان
    • آمریکا
    • اروپا
    • آسیا-اقیانوسیه
    • پاکستان و هند
    • ترکیه و اوراسیا
    • آفریقا
    • بیداری اسلامی
  6. فضا و نجوم
  7. اقتصادی
    • اقتصاد ایران
    • پول | ارز | بانک
    • خودرو
    • صنعت و تجارت
    • نفت و انرژی
    • فناوری اطلاعات | اینترنت | موبایل
    • کار آفرینی و اشتغال
    • راه و مسکن
    • هواشناسی
    • بازار سهام | بورس
    • کشاورزی
    • اقتصاد جهان
  8. اجتماعی
    • پزشکی
    • رسانه
    • طب سنتی
    • خانواده و جوانان
    • تهران
    • فرهنگیان و مدارس
    • پلیس
    • حقوقی و قضایی
    • علم و تکنولوژی
    • محیط زیست
    • سفر
    • حوادث
    • آسیب های اجتماعی
    • بازنشستگان
  9. فرهنگی
    • ادبیات و نشر
    • رادیو و تلویزیون
    • ‌دین ، قرآن و اندیشه
    • سینما و تئاتر
    • فرهنگ حماسه و مقاومت
    • موسیقی و تجسمی
  10. حوزه و روحانیت
  11. استانها
    • آذربایجان‌ شرقی
    • آذربایجان غربی
    • اردبیل
    • اصفهان
    • البرز
    • ایلام
    • بوشهر
    • استان تهران
    • چهارمحال و بختیاری
    • خراسان جنوبی
    • خراسان رضوی
    • خراسان شمالی
    • خوزستان
    • زنجان
    • سمنان
    • سیستان و بلوچستان
    • فارس
    • قزوین
    • قم
    • کاشان
    • کردستان
    • کرمان
    • کرمانشاه
    • کهگیلویه و بویراحمد
    • گلستان
    • گیلان
    • لرستان
    • مازندران
    • مرکزی
    • هرمزگان
    • همدان
    • یزد
    • جزایر خلیج فارس
  12. رسانه ها
    • چند رسانه ای
    • خواندنی
  13. بازار
    • قیمت خودرو
    • قیمت طلا، سکه و ارز
    • سازمان‌ها و شرکت‌ها
  14. عکس
  15. فیلم
  16. گرافیک و کاریکاتور
    • english
    • عربی
    • Türkçe
    • עברית
    • Pусский
  • RSS
  • تلگرام
  • اینستاگرام
  • توییتر
  •  
    آپارات
  •  
    سروش
  •  
    آی‌گپ
  •  
    گپ
  •  
    بله
  •  
    روبیکا
  •  
    ایتا
  • قیمت ارز و طلا
    لیگ ایران و جهان
  • صفحه اصلی
    • پربیننده‌ترین اخبار
    • مهمترین اخبار
    • آرشیو اخبار
  • سیاسی
    • سیاست ایران
    • نظامی | دفاعی | امنیتی
    • گزارش و تحلیل سیاسی
    • مجلس و دولت
  • امام و رهبری
  • ورزشی
    • فوتبال ایران
    • فوتبال جهان
    • والیبال | بسکتبال | هندبال
    • کشتی و وزنه‌برداری
    • ورزش های رزمی
    • ورزش زنان
    • ورزش جهان
    • رشته های ورزشی
  • بین الملل
    • دیپلماسی ایران
    • تولیدات دفاتر خارجی
    • آسیای غربی
    • افغانستان
    • آمریکا
    • اروپا
    • آسیا-اقیانوسیه
    • پاکستان و هند
    • ترکیه و اوراسیا
    • آفریقا
    • بیداری اسلامی
  • فضا و نجوم
  • اقتصادی
    • اقتصاد ایران
    • پول | ارز | بانک
    • خودرو
    • صنعت و تجارت
    • نفت و انرژی
    • فناوری اطلاعات | اینترنت | موبایل
    • کار آفرینی و اشتغال
    • راه و مسکن
    • هواشناسی
    • بازار سهام | بورس
    • کشاورزی
    • اقتصاد جهان
  • اجتماعی
    • پزشکی
    • رسانه
    • طب سنتی
    • خانواده و جوانان
    • تهران
    • فرهنگیان و مدارس
    • پلیس
    • حقوقی و قضایی
    • علم و تکنولوژی
    • محیط زیست
    • سفر
    • حوادث
    • آسیب های اجتماعی
    • بازنشستگان
  • فرهنگی
    • ادبیات و نشر
    • رادیو و تلویزیون
    • ‌دین ، قرآن و اندیشه
    • سینما و تئاتر
    • فرهنگ حماسه و مقاومت
    • موسیقی و تجسمی
  • حوزه و روحانیت
  • استانها
    • آذربایجان‌ شرقی
    • آذربایجان غربی
    • اردبیل
    • اصفهان
    • البرز
    • ایلام
    • بوشهر
    • استان تهران
    • چهارمحال و بختیاری
    • خراسان جنوبی
    • خراسان رضوی
    • خراسان شمالی
    • خوزستان
    • زنجان
    • سمنان
    • سیستان و بلوچستان
    • فارس
    • قزوین
    • قم
    • کاشان
    • کردستان
    • کرمان
    • کرمانشاه
    • کهگیلویه و بویراحمد
    • گلستان
    • گیلان
    • لرستان
    • مازندران
    • مرکزی
    • هرمزگان
    • همدان
    • یزد
    • جزایر خلیج فارس
  • رسانه ها
    • چند رسانه ای
    • خواندنی
  • بازار
    • قیمت خودرو
    • قیمت طلا، سکه و ارز
    • سازمان‌ها و شرکت‌ها
  • عکس
  • فیلم
  • گرافیک و کاریکاتور

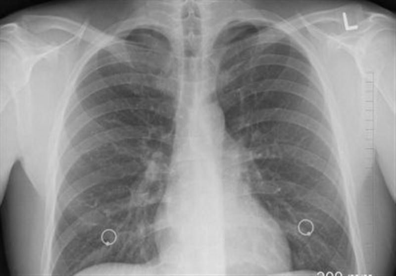
افزایش نگران‌کننده سرطان ریه در گلستان/ تریاک خطر ابتلا را 3.6 برابر افزایش می‌دهد

  • 22 آذر 1404 - 14:29
  • اخبار استانها
  • اخبار گلستان
افزایش نگران‌کننده سرطان ریه در گلستان/ تریاک خطر ابتلا را 3.6 برابر افزایش می‌دهد

معاون تحقیقات و فناوری دانشگاه علوم پزشکی گلستان گفت: در استان گلستان میزان شیوع سرطان ریه بالاتر است و در مردان میزان ابتلا 21.3 در هر صد هزار نفر (بسیار بالاتر از میانگین کشوری) و در میان زنان 5.21 در هر صد هزار نفر است.

استانها

به گزارش خبرگزاری تسنیم از گرگان، غلامرضا روشندل امروز در نشست خبری، با اشاره به دستاوردهای یک سال اخیر، اظهار کرد: در ارزشیابی سال گذشته، رتبه تحقیقات و فناوری دانشگاه علوم پزشکی گلستان از میان 68 دانشگاه علوم پزشکی کشور، 32 بود که این رتبه در ارزیابی امسال به 25 رسیده است.

معاون تحقیقات و فناوری دانشگاه علوم پزشکی گلستان افزود: حتی در برخی شاخص‌ها به جایگاه‌های تک رقمی و نخست کشوری دست یافته‌ایم. به عنوان مثال، در حوزه اخلاق در پژوهش رتبه اول کشور را کسب کرده‌ایم که نشان‌دهنده پایبندی به استانداردهای اخلاقی در تولید علم است.

وی از راه‌اندازی دو پژوهشکده در یک سال اخیر خبر داد و گفت: هدف از ایجاد این پژوهشکده‌ها، گردهم آوردن مراکز تحقیقاتی مختلف برای تمرکز بر حل مشکلات اصلی سلامت استان مانند سرطان، سل و سالک است. ماموریت آنها انجام پژوهش‌های کاربردی است که نتایجش مبنای تصمیم‌گیری سیاستگذاران قرار گیرد.

روشندل از تعریف پروژه‌های کلان در دانشگاه برای اولین بار خبر داد و افزود: با فراخوانی که اعلام کردیم، توانمندی خوبی در دانشگاه مشاهده شد و موضوعاتی مانند روش‌های نوین درمان سرطان پیشنهاد و تصویب شده که امیدواریم تا سال آینده دستاوردهای کاربردی آنها نمایان شود.

وی به برنامه‌های بین‌المللی‌سازی اشاره کرد و گفت: با اساتید ایرانی شاغل در دانشگاه‌های معتبر دنیا ارتباط علمی برقرار کرده‌ایم. همچنین با نمایه شدن مجله علوم پزشکی گرگان»در پایگاه بین‌المللی اسکوپوس در سال 1404، دستاورد بزرگی کسب شد. این در حالی است که تنها 7 مجله از کل کشور در این سال به این پایگاه راه یافته‌اند. پیش از این نیز مجله پرستاری و مامای» دانشگاه در اسکوپوس نمایه شده بود و یک مجله دیگر نیز به رتبه علمی- پژوهشی ارتقا یافته است.

معاون تحقیقات و فناوری دانشگاه علوم پزشکی گلستان تاکید کرد: ما به سمت دانشگاه‌های نسل 3 و 4 که علاوه بر تولید علم، به خلق ثروت و کارآفرینی می‌پردازند، در حرکت هستیم. در حوزه فناوری و ارتباط با صنعت، امسال سه تیم استارت‌آپی فعال شده که دو تیم به واحد فناور ارتقا یافته‌اند. همچنین با 4 واحد صنعتی استان قرارداد همکاری منعقد کرده‌ایم و همایش ارتباط با صنعت نیز به زودی برگزار می‌شود.

وی از ثبت 4 اختراع در سال جاری خبر داد که یکی از آنها گواهی اختراع دریافت کرده و مابقی در مرحله داوری هستند. همچنین راه‌اندازی پارک علم و فناوری سلامت در دانشگاه نیز یکی از موضوعاتی است که می‌تواند جهشی بزرگ در حوزه فناوری ایجاد کند.

روشندل تقویت آزمایشگاه جامع تحقیقات را از اولویت‌های سرمایه‌گذاری دانست و افزود: برای تشخیص زودهنگام و انتخاب درمان موثر سرطان، به آزمایش‌های تخصصی نیاز است که متاسفانه برخی از آنها در استان انجام نمی‌شود و بیماران مجبور به مراجعه به تهران هستند. ما با استفاده از ظرفیت خیران سلامت در پی تجهیز این آزمایشگاه به دستگاه‌های فوق تخصصی هستیم تا این مشکل مردم استان رفع شود.

وی از رشد قابل توجه تحقیقات دانشجویی به عنوان موتور محرکه پژوهش تقدیر کرد و گفت: کمیته تحقیقات دانشجویی دانشگاه مورد تقدیر وزارت بهداشت قرار گرفته است. پیش‌بینی می‌شود تعداد طرح‌های تحقیقاتی مصوب دانشگاه از 500 به 600 طرح در سال افزایش یابد و روند نزولی انتشار مقالات بین‌المللی متوقف و سیر صعودی از سال آینده آغاز شود.

معاون تحقیقات و فناوری دانشگاه گلستان با اشاره به نتایج یکی از پژوهش‌ها در زمینه سرطان گفت: این پژوهش با همکاری انستیتو سرطان دانشگاه علوم پزشکی تهران و به صورت مطالعه مورد- شاهدی چندمرکزی انجام شده است که مطالعه روی 627 بیمار مبتلا به سرطان ریه از 10 استان کشور انجام شد.

وی خاطرنشان کرد: مصرف منظم تریاک، خطر ابتلا به سرطان ریه را 3.6 برابر افزایش می‌دهد و در صورت مصرف همزمان تریاک و سیگار، خطر ابتلا به 13 برابر می‌رسد. افرادی که دو بار یا بیشتر در روز تریاک مصرف می‌کنند، 9 برابر بیشتر در معرض خطر هستند.

روشندل با اشاره به اینکه تریاک دارو نیست و یک ماده سرطان‌زاست، بیان کرد: این پژوهش نشان داد که اثر مخرب تریاک در زنان بارزتر است و خطر ابتلا در آنها 7 برابر افزایش می‌یابد. خطر آن به تنهایی بسیار بالاست و مصرف مشترک با سیگار، خطر را به طور نجومی افزایش می‌دهد.

وی عنوان کرد: سرطان ریه یکی از پنج سرطان کشنده در جهان است. به دلیل تهاجمی بودن، زمان کمی برای درمان باقی می‌گذارد و متاسفانه بسیاری از بیماران در سال‌های اول فوت می‌کنند. میزان ابتلا در بخش مردان حدود 12.7 در هر صد هزار نفر و در میان زنان رقمی کمتر از مردان است. در استان گلستان اما میزان شیوع این بیماری بالاتر است و در مردان میزان ابتلا 21.3 در هر صد هزار نفر (بسیار بالاتر از میانگین کشوری) و در میان زنان 5.21 در هر صد هزار نفر است.

روشندل با اشاره به عوامل خطر شناخته شده سرطان ریه گفت: مصرف سیگار (ریسک بسیار بالا)، در معرض دود سیگار بودن، مصرف الکل و نوشیدنی‌های الکلی، مواجهه شغلی با تشعشعات (مثل برخی محیط‌های بیمارستانی یا صنعتی)، آلودگی هوا و آب، تریاک (به عنوان یک عامل خطر مهم و خاص در کشور) است.

انتهای پیام/

 
R7631/P
قیمت ارز و طلا
لیگ ایران و جهان
نظام مسایل استان ها
واژه های کاربردی مرتبط
  • اخبار استان گلستان
  • سرطان
بیشتر بخوانید
نرخ رشد 4 تا 6 درصدی سرطان پستان در ایران
کاپیتان تیم ملی والیبال بلژیک به سرطان مبتلا شد
بزرگترین بیمارستان سرطان منطقه خاورمیانه در شیراز ساخته می‌شود
tasnim
tasnim
tasnim
رازی
مادیران
شهر خبر
fownix
غار علیصدر
ازکی
طبیعت
میهن
triboon
تبلیغات
  • طراحی سایت
  • بازرگانی سیب
  • آیا بیماری اسکولیوز خطرناک است؟
  • استعلام شرکت با نام
  • بازی آنلاین
  • درباره ما
  • ارتباط با ما
  • پربیننده‌ترین اخبار
  • پیوندها
  • بازار
  • قیمت ارز و طلا
  • لیگ ایران و جهان
  • آرشیو اخبار ؛ جدیدترین اخبار لحظه به لحظه امروز
ما را دنبال کنید:
  • RSS
  • تلگرام
  • اینستاگرام
  • توییتر
  • آپارات
  • سروش
  • آی‌گپ
  • گپ
  • بله
  • روبیکا
  • ایتا

All Content by Tasnim News Agency is licensed under a Creative Commons Attribution 4.0 International License.