به گزارش خبرنگار اجتماعی خبرگزاری تسنیم، 3 ماه قبل یک جوان 20 ساله که در گاوداری کار میکند توسط یک گاو نر در مزرعهای دورافتاده در غرب استرالیا مورد حمله قرار گرفت و انگشت شست دستش به شدت آسیب دید.
بر اساس گزارش تلگراف، «زک میچل»(Zac Mitchell) درباره این حادثه گفته است که لگد گاو باعث برخورد دستش به نردهها شد.
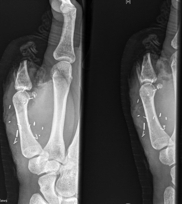
وی قبل از این که تحت عمل پیوند قرار بگیرد، دو عمل جراحی ناموفق برای اتصال مجدد انگشت شست به دستش داشت.
عمل پیوند انگشت شست پا با انگشت شست دست «زک» که در بیمارستان سیدنی استرالیا صورت گرفت 8 ساعت به طول انجامید.



«شون نیکلین» (Sean Nicklin)، جراح «زک» و متخصص جراحی پلاستیک در این رابطه گفت: "که تعجبی نداشت چرا که پذیرش چنین چیزی نیاز به زمان داشت."
به گفته این متخصص، بیماران نمیخواهند که به بخش دیگری از بدنشان صدمه بزنند.
طول درمان و دوران نقاهت «میچل» برای اینکه بتواند از انگشت جدیدش استفاده کند 12 ماه برآورد شده است.
بیمارستان سیدنی مدعی شده است که این عمل پیوند بیسابقه بوده است.
انتهای پیام/